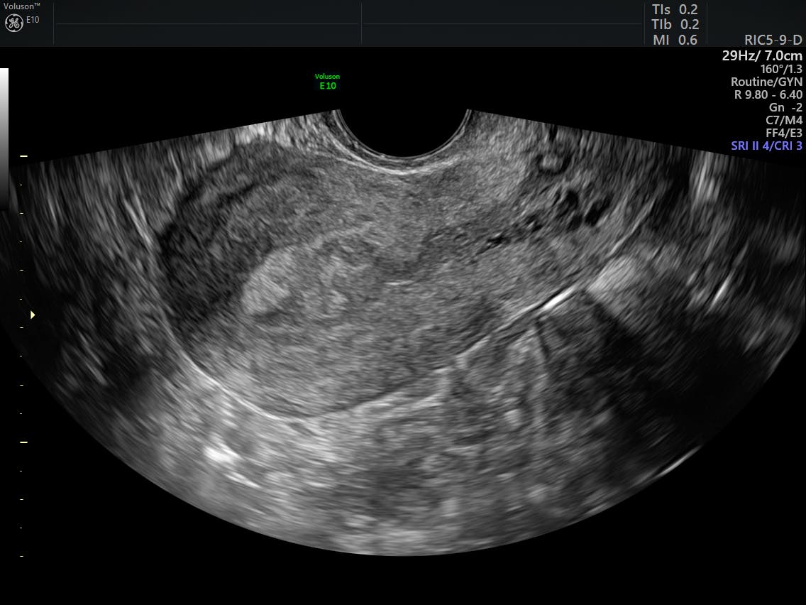
Ultrasound Characteristics Of Endometrial Cancer As Defined By International Endometrial Tumor Analysis Ieta Consensus Nomenclature Prospective Multicenter Study Epstein 2018 Ultrasound In Obstetrics Amp Gynecology Wiley Online Library
Ultrasound Characteristics Of Endometrial Cancer As Defined By International Endometrial Tumor Analysis Ieta Consensus Nomenclature Prospective Multicenter Study Epstein 2018 Ultrasound In Obstetrics Amp Gynecology Wiley Online Library
Role Of Imaging In The Routine Management Of Endometrial Cancer Lin 2018 International Journal Of Gynecology Amp Obstetrics Wiley Online Library
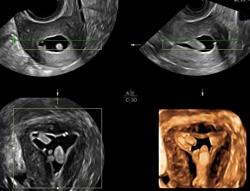
Diagnosing Endometrial Cancer Use 3d Ultrasound First Empowered Women S Health
Ultrasound Characteristics Of Endometrial Cancer As Defined By International Endometrial Tumor Analysis Ieta Consensus Nomenclature Prospective Multicenter Study Epstein 2018 Ultrasound In Obstetrics Amp Gynecology Wiley Online Library
Diagnosing Endometrial Cancer Use 3d Ultrasound First Empowered Women S Health
Endometrial Carcinoma Radiology Case Radiopaedia Org
Transvaginal Ultrasound Showing Measurement Of Tumor Anteroposterior Download Scientific Diagram
Endometrial Cancer An Overview Of Novelties In Treatment And Related Imaging Keypoints For Local Staging Cancer Imaging Full Text
The Diagnostic Accuracy Of Ultrasound In Assessment Of Myometrial Invasion In Endometrial Cancer Subjective Assessment Versus Objective Techniques
Ultrasound Imaging Of Endometrial Cancer Chapter 23 Ultrasonography In Gynecology
Uncovering Endometriosis Vs Endometrial Cancer Empowered Women S Health
Transvaginal Ultrasound Showing A Large Cervical Cancer In Longitudinal Download Scientific Diagram
Gray Scale And Color Doppler Ultrasound Characteristics Of Endometrial Cancer In Relation To Stage Grade And Tumor Size Epstein 2011 Ultrasound In Obstetrics Amp Gynecology Wiley Online Library
Imaging In The Diagnosis And Treatment Of Endometrial Cancer Springerlink
Abnormal Uterine Bleeding Houston Causes Of Abnormal Bleeding
Imaging In Endometrial Carcinoma Faria Sc Sagebiel T Balachandran A Devine C Lal C Bhosale Pr Indian J Radiol Imaging
Detecting Endometrial Carcinoma With Ultrasound Empowered Women S Health
Sonohysterography Principles Technique And Role In Diagnosis Of Endometrial Pathology
A 52 Year Old Woman With Endometrioid Adenocarcinoma Stage Ia Download Scientific Diagram
Endometrial Hyperplasia Radiology Reference Article Radiopaedia Org
Clear Cell Carcinoma Of The Lower Uterine Segment A Case Report
Endometrial Cancer An Overview Of Novelties In Treatment And Related Imaging Keypoints For Local Staging Cancer Imaging Full Text
Imaging In Endometrial Carcinoma Faria Sc Sagebiel T Balachandran A Devine C Lal C Bhosale Pr Indian J Radiol Imaging
Imaging The Endometrium A Pictorial Essay Sciencedirect
Endometrial Carcinoma Most Common Gyno Malignancy Uterine Bleeding Look For An End Diagnostic Medical Sonography Ultrasound Sonography Obstetric Ultrasound
Endometrial Carcinoma In Premenopausal Woman Radiology Case Radiopaedia Org
Transvaginal Ultrasound Showing A Large Cervical Cancer In Longitudinal Download Scientific Diagram
Ultrasound Imaging Of Endometrial Cancer Chapter 23 Ultrasonography In Gynecology
Radiology In The Diagnosis Staging And Management Of Gynecologic Malignancies Glowm
Transvaginal Ultrasound Showing A Large Cervical Cancer In Transverse Download Scientific Diagram
Utility Of Three Dimensional 3 D Ultrasound And Power Doppler In Identification Of High Risk Endometrial Cancer At A Tertiary Care Hospital In Southern India A Preliminary Study Sciencedirect
Gray Scale And Color Doppler Ultrasound Characteristics Of Endometrial Cancer In Relation To Stage Grade And Tumor Size Epstein 2011 Ultrasound In Obstetrics Amp Gynecology Wiley Online Library
Endometrial Cancer Risk Factors Staging Surgery Teachmeobgyn
Imaging The Endometrium Disease And Normal Variants Radiographics
The Diagnostic Accuracy Of Ultrasound In Assessment Of Myometrial Invasion In Endometrial Cancer Subjective Assessment Versus Objective Techniques
Center For Menstrual Disorders In Rochester Ny
Endometrial Cancer Screening Pdq Patient Version National Cancer Institute
Endometrial Carcinoma Radiology Reference Article Radiopaedia Org
Uncovering Endometriosis Vs Endometrial Cancer Empowered Women S Health
Imaging The Endometrium A Pictorial Essay Sciencedirect
Endometrial Carcinoma Radiology Reference Article Radiopaedia Org
Uncovering Endometriosis Vs Endometrial Cancer Empowered Women S Health
Ultrasound Video Showing Endometrial Hyperplasia Youtube
Mri Of Endometrium Cancer How We Do It Cancer Imaging Full Text
Uterine And Endometrial Cancer John Wayne Cancer Institute Santa Monica Ca
Endometrial Cancer Overview And More
Pdf Evaluating Myometrial And Cervical Invasion In Women With Endometrial Cancer Comparing Subjective Assessment With Objective Measurement Techniques
Abnormal Uterine Bleeding And The Risk Of Endometrial Cancer Can Subendometrial Vascular Ultrasound Be Of Help To Discriminate Cancer From Adenomyosis American Journal Of Obstetrics Gynecology
Imaging And Cancer Of The Cervix In Low And Middle Income Countries Sciencedirect
Contemporary Management Of Endometrial Cancer The Lancet
Imaging Of The Female Pelvis Through The Life Cycle Radiographics
Endometrial Carcinoma Radiology Reference Article Radiopaedia Org
Imaging The Endometrium A Pictorial Essay Sciencedirect
Detection Of Spontaneous Ovarian Tumors At Early Stage With V A 3 Download Scientific Diagram
Imaging In Uterine Malignancy Role Of Ultrasonography Ct And Pet Ct Obgyn Key
Ultrasound Imaging Of Endometrial Cancer Chapter 23 Ultrasonography In Gynecology
A Gallery Of High Resolution Ultrasound Color Doppler 3d Images Carcinoma
The Role Of Ultrasound Imaging In Detecting Endometrial Cancer In Postmenopausal Women With Vaginal Bleeding Sciencedirect
Endometrial Cancer Causes Assessment And Diagnosis Empowered Women S Health
Figure 8 From The Role Of Ultrasound In The Assessment Of Uterine Cervical Cancer Semantic Scholar
Figure 1 From Endometrial Cancer An Overview Of Novelties In Treatment And Related Imaging Keypoints For Local Staging Semantic Scholar
Value Of Sonographic Endometrial Findings In Patients Under Tamoxifen Therapy
Endometrial Thickness Radiology Reference Article Radiopaedia Org
Ultrasound Video Showing An Ovarian Tumor Youtube
The Diagnostic Accuracy Of Ultrasound In Assessment Of Myometrial Invasion In Endometrial Cancer Subjective Assessment Versus Objective Techniques
Endometrial Cancer An Overview Of Novelties In Treatment And Related Imaging Keypoints For Local Staging Cancer Imaging Full Text
Transvaginal Ultrasound Of The Uterus Note Irregularly Shaped Uterus Download Scientific Diagram
Us Of The Pediatric Female Pelvis A Clinical Perspective Radiographics
Imaging And Cancer Of The Cervix In Low And Middle Income Countries Sciencedirect
Endometrial Cancer Gynaecologia
The Diagnostic Accuracy Of Ultrasound In Assessment Of Myometrial Invasion In Endometrial Cancer Subjective Assessment Versus Objective Techniques
Endometrial Cancer Stage 1b Large Tumour With Irregular Echogenicity Download Scientific Diagram
Role Of Imaging In The Routine Management Of Endometrial Cancer Lin 2018 International Journal Of Gynecology Amp Obstetrics Wiley Online Library
Ultrasound Imaging Of Endometrial Cancer Chapter 23 Ultrasonography In Gynecology
Presentation1 Radiological Imaging Of Endometrial Carcinoma
Endometrial Thickness Radiology Reference Article Radiopaedia Org
The Role Of Three Dimensional Ultrasound In Gynecology Scitemed Publishing Group
Ultrasound Characteristics Of Endometrial Cancer As Defined By International Endometrial Tumor Analysis Ieta Consensus Nomenclature Prospective Multicenter Study Epstein 2018 Ultrasound In Obstetrics Amp Gynecology Wiley Online Library
Presentation1 Pptx Ultrasound Examination Of The Uterus And Ovaries
Ultrasound Imaging Of Endometrial Cancer Chapter 23 Ultrasonography In Gynecology
Role Of Imaging In The Routine Management Of Endometrial Cancer Lin 2018 International Journal Of Gynecology Amp Obstetrics Wiley Online Library
Improving Cervical Cancer Screening With Ultrasound Empowered Women S Health
Ultrasound Video Showing Endometrial Hyperplasia With Two Fibroids Youtube
Role Of Mri In Staging And Follow Up Of Endometrial And Cervical Cancer Pitfalls And Mimickers Springerlink
Sonographic And Doppler Predictors Of Malignancy In Ovarian Lesions Egyptian Journal Of Radiology And Nuclear Medicine Full Text
Transvaginal Ultrasound Noninvasive Method For The Prediction Of Response To Concurrent Chemoradiotherapy In Cases Of Cervical Cancer Jve Journals
Transvaginal Ultrasound In Deep Endometriosis Pictorial Essay
Imaging In Gynecological Disease 14 Clinical And Ultrasound Characteristics Of Ovarian Clear Cell Carcinoma Pozzati 2018 Ultrasound In Obstetrics Amp Gynecology Wiley Online Library
Endometrial Cancer Causes Assessment And Diagnosis Empowered Women S Health
Imaging And Cancer Of The Cervix In Low And Middle Income Countries Sciencedirect
Radiology In The Diagnosis Staging And Management Of Gynecologic Malignancies Glowm
Center For Menstrual Disorders In Rochester Ny
Endometrial Cancer Symptoms Staging Treatment And Causes
Imaging The Endometrium A Pictorial Essay Sciencedirect
The Use Of Ultrasound In The Perimenopausal Patient Chapter 14 Ultrasound In Reproductive Healthcare Practice


Komentar
Posting Komentar